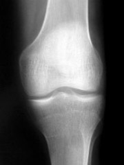
Najčešći uzroci nastanka artritisa na zglobovima
Razlozi za prekomerno trošenje hrskavice su višestruki, pa se među najvažnije uzroke nastanka osteoartritisa, pored urođenih deformacija zglobova, ubrajaju prekomerna telesna težina, konstantno opterećenje zbog prirode posla te mikro ozlede hrskavice nastalih tokom rekreativnih sportskih aktivnosti ili nepravilno doziranih treninga. Najčešće se artritične promene javljaju na zglobovima kolena, kuka, ručnim zglobovima i ramenom pojasu.
Prognoza zagadjenja u Beogradu
Niste član? Pridružite se besplatno!
doktor.rs zajednica broji 94852 članova
Šta sve dobijam besplatnom registracijom?
Niste član? Pridružite se besplatno!
doktor.rs zajednica broji 94852 članova
Šta sve dobijam besplatnom registracijom?

